How Early Crooked Teeth Treatment Can Prevent Problems Later

0
1K

Crooked teeth are a common concern among children and adults alike. While many may see them as a cosmetic issue, untreated misalignment can lead to more serious complications over time. Addressing crooked teeth early can provide lasting benefits, ensuring healthier teeth and a more confident smile in the future.

Understanding Crooked Teeth in Children

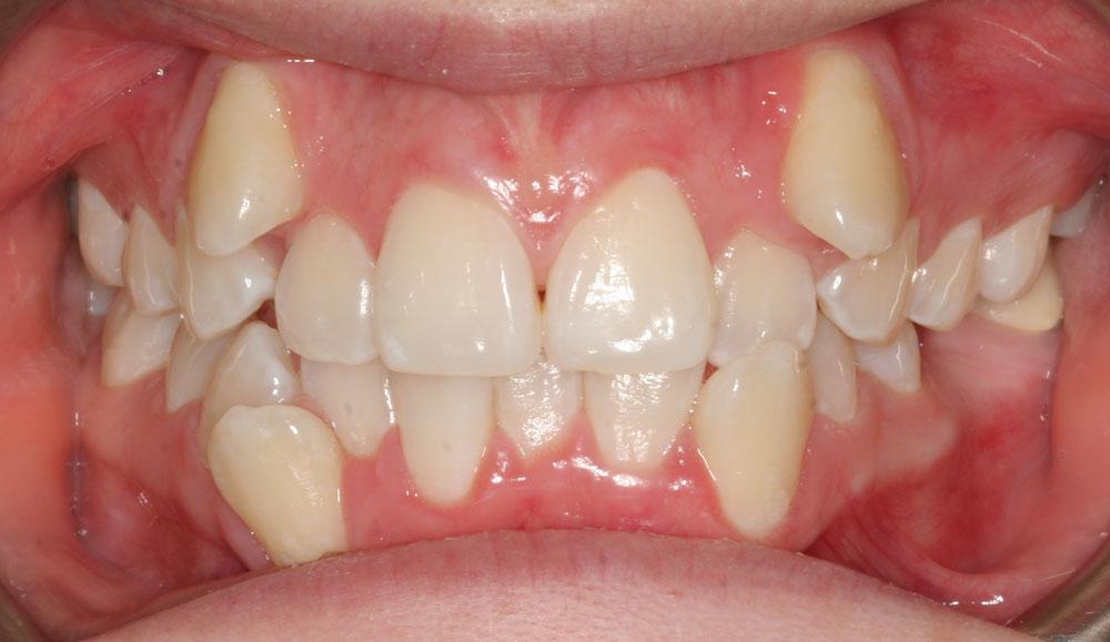
Crooked Teeth Treatment Dubai, also known as malocclusion, occur when teeth are misaligned or crowded. Early signs may include overlapping teeth, gaps, or difficulty chewing. Observing these patterns in childhood is important because the growth phase of the jaw and teeth provides an ideal window for corrective treatment.

Causes of Early Misalignment

Several factors contribute to crooked teeth. Genetics play a significant role, as children often inherit jaw size and tooth structure from their parents. Habits such as thumb sucking, prolonged use of bottles or pacifiers, and tongue thrusting can also influence tooth alignment. Detecting these causes early allows for interventions that prevent worsening problems.

Benefits of Early Treatment

Early treatment of crooked teeth can prevent a range of dental and oral health issues. The goal is to guide the teeth and jaw into proper alignment while the child is still growing.

Improved Oral Hygiene

Crooked teeth can make brushing and flossing difficult. Crowded or overlapping teeth create hard-to-reach spaces where plaque accumulates, increasing the risk of cavities and gum disease. Straightening teeth early allows for easier cleaning, reducing the likelihood of oral health complications later.

Prevention of Bite Problems

Misaligned teeth can lead to bite problems, including overbites, underbites, and crossbites. These issues can affect chewing efficiency and place stress on the jaw. Early intervention ensures that the teeth meet correctly, preventing strain on the jaw muscles and joints.

Enhanced Speech Development

Crooked teeth or jaw misalignment may influence speech patterns. Certain sounds may be harder to pronounce, and speech clarity can be affected. Addressing alignment early supports proper tongue placement and articulation, contributing to more confident communication skills.

Reduced Risk of Injury

Protruding or misaligned teeth are more vulnerable to injury during falls or accidents. Correcting the position of teeth early helps protect them from damage, particularly during childhood when outdoor activities and play increase the likelihood of dental trauma.

Types of Early Treatment Options

Treatment plans for crooked teeth in children vary depending on the severity and underlying cause of misalignment. Early intervention focuses on guiding the growth of teeth and jaws to prevent more complex problems.

Orthodontic Appliances

Devices such as braces or removable aligners help gradually shift teeth into proper alignment. These appliances are often used while the jaw is still growing, making the process more efficient and reducing the need for extensive treatment later.

Space Maintainers

When a child loses a baby tooth prematurely, a space maintainer may be used to keep the gap open for the permanent tooth. This prevents neighboring teeth from shifting and ensures the new tooth erupts in the correct position.

Jaw Growth Guidance

In cases where jaw size and growth contribute to crooked teeth, specialized appliances can guide jaw development. These treatments encourage proper alignment of the upper and lower jaws, reducing the severity of malocclusion as permanent teeth emerge.

Long-Term Impact of Early Intervention

Addressing crooked teeth during childhood has benefits that extend into adulthood. Early treatment can reduce the duration and complexity of later orthodontic procedures. It also decreases the likelihood of dental complications such as worn enamel, gum recession, and temporomandibular joint discomfort.

Confidence and Self-Esteem

Children who undergo early treatment often experience increased self-confidence. A straight smile can positively impact social interactions and emotional well-being, providing children with a sense of pride in their appearance.

Cost and Complexity Reduction

While the focus is not on cost, it is important to note that early treatment often minimizes the need for extensive procedures later. By addressing issues while the teeth and jaws are still developing, the overall process is more manageable and less invasive.

Signs That Early Treatment May Be Needed

Parents and caregivers can look for signs that indicate a child may benefit from early intervention.

Visible Misalignment

Teeth that are crowded, rotated, or uneven in size or position suggest potential alignment problems.

Difficulty Chewing or Biting

Children who struggle to bite or chew food properly may have underlying jaw or teeth misalignment.

Speech Issues

Persistent lisping or difficulty pronouncing certain sounds can be linked to crooked teeth or jaw positioning.

Early Tooth Loss

Losing baby teeth too soon or too late can disrupt the natural progression of permanent teeth, leading to crookedness.

FAQs

At What Age Should Children Be Evaluated?

Children are generally advised to have their first evaluation around the age when permanent teeth begin to emerge. Early assessment helps identify potential alignment issues before they become more complicated.

Can Early Treatment Eliminate the Need for Braces Later?

While not all cases eliminate braces entirely, early treatment often reduces the severity of misalignment, making any later procedures simpler and shorter in duration.

Is Treatment Painful for Children?

Most early interventions are designed to be gentle and gradual, minimizing discomfort while effectively guiding teeth and jaw growth.

How Often Should Follow-Ups Occur?

Regular monitoring ensures that the treatment is progressing as planned. Follow-up schedules vary depending on the specific approach and the child’s growth pattern.

Conclusion

Early treatment of Crooked Teeth Treatment in Dubai is a proactive step that can prevent a host of dental and developmental problems later in life. By addressing misalignment while the teeth and jaw are still growing, children enjoy improved oral hygiene, better bite function, enhanced speech, and increased confidence. Observing the signs of misalignment and acting promptly ensures that children have the best opportunity for a healthy, straight smile that lasts into adulthood.

Search
Categories
Read More
Literature
Leveraging Data in the Vitamin D Testing Market
The Vitamin D Testing Market Data provides actionable insights into testing trends, patient...
By Divakar Kolhe 2025-10-10 10:37:04 0 916
Medical & Health
Exosomes Therapy in Dubai: Analyzing Clinical Data and 2026 Outcomes
As we navigate the mid-point of 2026, the clinical landscape of regenerative medicine in the UAE...
By tajmeelsclinic Clinic 2026-05-05 08:38:43 0 28
Food Industry
Aquaculture Market Growth Challenges Impacting Global Seafood Supply Chains
The aquaculture market growth challenges are becoming increasingly significant as global demand...
By Priti Mishra 2026-04-21 06:02:03 0 360
Networking
Capacitor Silicon Market: Strategic Developments and Expansion Trends 2026-2034
Global Capacitor Silicon Market, valued at USD973 million in 2024, is poised for substantial...
By Rachel Lamsal 2026-03-25 11:32:32 0 395
Uncategorized
Ultrasound Devices Market to Reach USD 17.07 Billion by 2033 at 5.5% CAGR
The global ultrasound devices market size was valued at USD 10.54 Billion in 2024 and is...
By Mahesh Chavan 2026-01-16 05:12:02 0 1K